Periodoncia
la periodoncia es una especialidad odontológica que trata las enfermedades que afectan la encía, los tejidos de soporte dental y la estructura ósea de los maxilares. Solucionar los problemas periodontales a tiempo, en las primeras fases, te ayudará a evitar la pérdida prematura de las piezas dentales afectadas.
Las patologías que se tratan con esta especialidad son la gingivitis y la periodontitis; la pronta realización de un tratamiento personalizado te ayudará a detener su avance y a disminuir el daño gingival y sus consecuencias

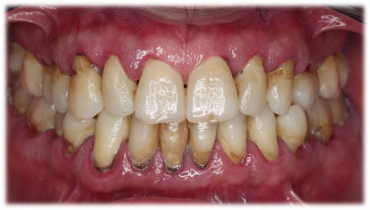
Causas, Signos y Síntomas de la Periodontitis
La periodontitis o piorrea es la consecuencia de una gingivitis que no ha sido tratada a tiempo. Causa una fuerte inflamación de los tejidos que soportan los dientes (encía, hueso, ligamento periodontal y cemento), movilidad ( aflojamiento de las piezas) y pérdida del hueso que rodea los dientes. Se trata de un problema grave y crónico que requiere seguimiento por parte de un especialista y un tratamiento adaptado a las circunstancias particulares del paciente.
Causas, Signos y Síntomas de la Gingivitis
Ésta es una patología que genera inflamación, sangrado e irritación de las encías. Si se trata a tiempo, es reversible. Pero si no recurres a un tratamiento especializado, esta enfermedad puede generar problemas mucho más graves, como la periodontitis.
La principal causa es la acumulación y reproducción de bacterias sobre las piezas dentales y la encía. Mantener unos buenos hábitos de higiene y asistir a las limpiezas dentales periódicas, es la mejor opción para controlarla.

Si sufres una de estas enfermedades evita la pérdida de tus piezas dentales, solicita una cita con nuestros especialistas.